Lamina Zahn (Blattporzellan)

Lamina Diş (Yaprak Porselen)

Lamina Zahn (Blattporzellan)

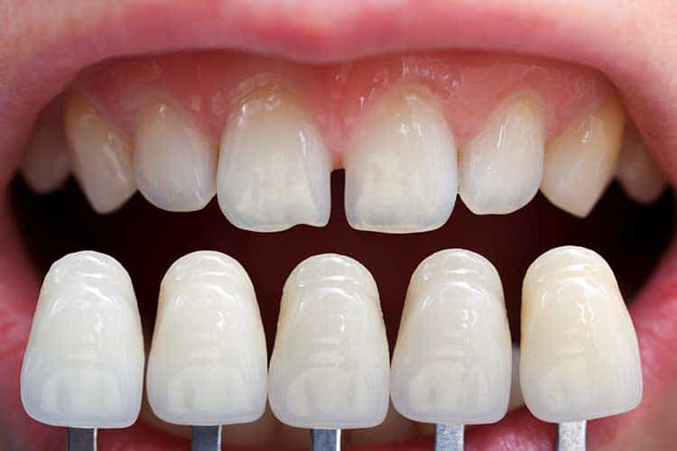
Der Lamina-Zahn ist eine dünne Porzellanbeschichtung, die zur Lösung ästhetischer Probleme bei Frontzähnen verwendet wird. Laminas, in der zahnmedizinischen Literatur Laminatveneers und in der Alltagssprache Blattporzellan genannt, haben eine durchschnittliche Dicke von 0,7 Millimetern. Lamina ist eine gesunde Methode in Bezug auf die ästhetische Zahnheilkunde, da sie durch Schutz des vorhandenen Zahns angewendet wird. Das Schmelzgewebe im Bereich von 0,3 bis 1 Millimeter wird von der Vorderseite des Zahns entfernt, um das Lamina-Furnier aufzutragen.

Nach den Messungen, der zu laminierenden Zähnen, wird die Schicht geformt und gleichzeitig wird eine Farbharmonie mit dem Zahn erreicht, auf den die Schicht aufgetragen wird. Anschließend wird die ästhetische Anwendung abgeschlossen, indem das Blatt mit einem speziellen Porzellankleber auf den Zahn geklebt wird.

Der Lamina Zahn ist eine Anwendung auf dem natürlichen Zahn. Auf Porzellanzähnen kann die Lamina nicht durchgeführt werden.

Lamina-Zahn ist eine Anwendung, die auf den natürlichen Zahn angewendet wird. Wenn der Zahn der Person aus Porzellan besteht, kann keine Lamina durchgeführt werden. Die Anwendung von Lamina-Zähnen führt leicht zu Lösungen beim Schließen der Lücken in den Vorderzähnen, beim Verbergen von Karies / Frakturen / Rissen, zum Zwecke der Vergrößerung der Zahngröße und in Fällen, in denen die gewünschten Ergebnisse ohne Zahnaufhellung nicht erzielt werden können. Laminatfurnier kann lange verwendet werden, da es gegen Farbveränderungen beständig ist und eine feste Struktur aufweist.

Plaza-Kontakttelefone

Kontaktieren Sie jetzt, um Informationen zu erhalten

Schneller Termin

Über die WhatsApp-Leitung können Sie schnell kommunizieren.