Laminated Teeth (Leaf Porcelain)

Laminated Teeth (Leaf Porcelain)

Laminated Teeth (Leaf Porcelain)

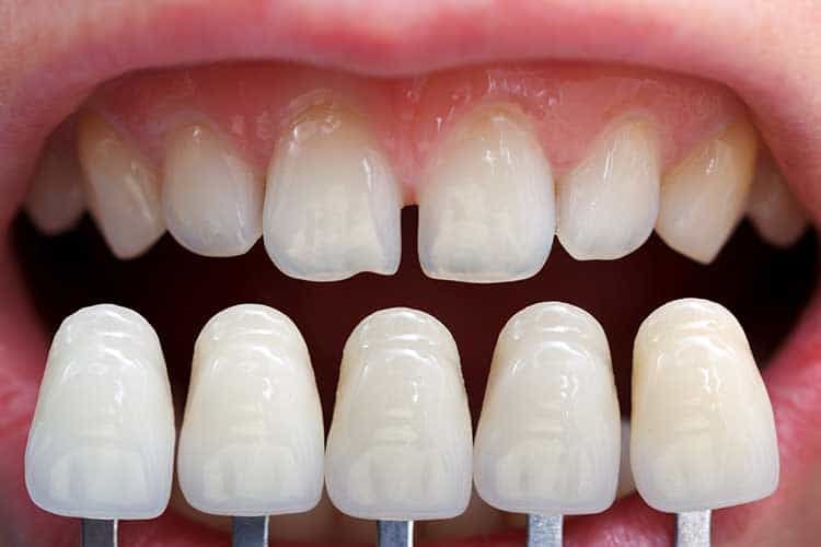
Lamina tooth is a thin porcelain coating used in the solution of aesthetic problems in anterior teeth. Laminas, which are called laminate veneers in the dentistry literature and leaf porcelain in daily language, have an average thickness of 0.7 millimeters. Lamina is a healthy method in terms of aesthetic dentistry because it is applied by protecting the existing tooth. The enamel tissue, ranging from 0.3 to 1 millimeter, is removed from the anterior face of the tooth to be applied lamina veneer.

Measure is taken from the tooth to be laminated. According to these measurements, the lamina is shaped and at the same time, color harmony is achieved with the tooth on which the laminate will be applied. Then, the aesthetic application is completed by gluing the leaf to the tooth with a special porcelain adhesive.

Lamina tooth is an application made on the natural tooth, if the person's tooth is porcelain, the lamina process cannot be done. Lamina tooth application easily produces solutions in closing the gaps in the front teeth, hiding decays / fractures / cracks, for the purpose of enlarging the tooth size and when the desired results cannot be obtained without tooth whitening.
Laminate veneer can be used for a long time because it is resistant to color change and is robust.

Plaza Contact Phones

Contact Now To Get Information

Quick Appointment

You can communicate quickly from the WhatsApp line.